重曹 虫歯 治っ た 136068
虫歯が治った症例については、下のページを見てみてください。 (Facebookの「いいね!」が2639回ついている、重曹うがいが流行るきっかけとなったページの一つです) 「重曹水」で虫歯が治った症例 デンタルフロスだけでなく、歯間ブラシも併用する 例えば風邪を引いた時、軽い症状なら病院に行かなくても自然に治っていきますね。 では虫歯はどうでしょうか?治療が怖い、通院が面倒などの理由で虫歯を放置する人がいますが、 丁寧に歯磨きをしていればその虫歯は自然に治っていく 重曹は虫歯、肝臓病、癌(ガン)、被ばく痛風などあらゆる病気を治す効果があるって知ってました?! ガンの痛みに長く悩み、長く苦しんでいる方々に朗報!!! みなさんは、重曹がガンに効果的であることを知っていましたか?? 本当に信じがたいことであるのですが、たった数百円の

虫歯治療 黒い点 ーノーブルデンタルクリニック仙台 仙台駅東口 日曜診療 夜間診療
重曹 虫歯 治っ た
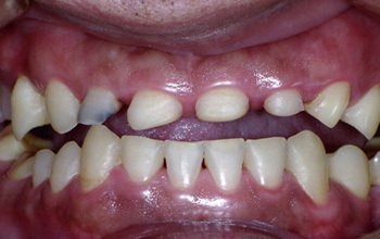
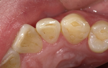
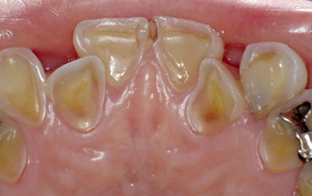
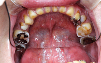
重曹 虫歯 治っ た- なので、軽い虫歯なら重曹で治ってしまうらしい。 ホントかい・・・??? そーいや、ちょっと前に、 食後すぐに歯磨きをするのはオススメしない。 っていうのを見たことがある。 食後の歯磨きは、食後30分たってから、と。 これも同じことよね。 食後すぐは口の中が酸性になっているか重曹水で虫歯が治った実例 例えば、mabo400氏の娘さんが1年間重曹洗口をしたところ、少し大きかった虫歯がかなり小さくなりました。↓そのときのレントゲン写真もあります。 そしてmabo400氏はなんと、重曹なら虫歯が象牙質に入っても治ると言います。 参照⇒「重曹水」で虫歯が治った症例1




虫歯治療 黒い点 ーノーブルデンタルクリニック仙台 仙台駅東口 日曜診療 夜間診療
「やはり重曹で虫歯が治るなんて嘘なのか」 と思うかも知れません。 ところが否定論をよく検討してみると、あろうことか、歯科医学の基本と矛盾する発言や、重曹について無理解な主張が堂々となされています。 信じられないことですが、これでは嘘を言っているのは否定論に立つ歯科医師重曹水で虫歯が治った実例 例えば、mabo400氏の娘さんが1年間重曹洗口をしたところ、少し大きかった虫歯がかなり小さくなりました。↓そのときのレントゲン写真もあります。 そしてmabo400氏はなんと、重曹なら虫歯が象牙質に入っても治ると言います。 重曹うがいを始めて、4歳から25年間常重曹水で虫歯が治った実例 例えば、mabo400氏の娘さんが1年間重曹洗口をしたところ、少し大きかった虫歯がかなり小さくなりました。 僕が12年程前に予防歯科に大きくかじを切ったきっかけは、 ふつうの歯医者のやり過ぎで体調をくずしたのがきっかけですが、 もう1つあります。
こんにちは。 匿名歯科医師だ。 今回のテーマは 重曹うがいってどうなの。 だ。 最近、と言っても割と前だが とある歯医者のブログでご丁寧にお子さんのレントゲン写真を添えて 「虫歯になったけど、重曹うがいで治ったよ!!」 という内容の記事が書かれたことがあった。 重曹うがいが「虫歯予防」「口臭改善」になるって事実なのでしょうか。実は、重曹は、虫歯予防や歯槽膿漏、ホワイトニング、口臭改善に有効だと言われています。このため、重曹でのうがいは効果てきめんです。 大崎駅・品川駅の歯科なら大崎シティデンタルクリニック jr大崎駅南口 駅HCO3というのは唾液にも含まれていて、よく噛んで食べなさいというのもこれが理由。 3.その結果、虫歯が治っていく 重曹が酸を中和して歯が溶けていくのを防ぎ、再石灰化を促してくれるんです。 重曹の使い方 1.重曹マウスウォッシュの
虫歯も治っちゃう!?重曹× で「万能うがい水」を作ろう♪ 18年4月16日 1398 Views 歯磨きよりも効果的と言われている「万能うがい水」をご存知ですか?重曹とあるものを使うだけで、お口の中がスッキリときれいになる魔法の水があるんです。最近ではお口のセルフケアに取り入れこちらはなんと、本物の歯科医院が紹介しています! かなり信頼できそうな情報です。 実は私もこれを見て「いけるんじゃね?」と思い、試してみたんですよね。 重曹うがいでの治験例なども紹介されているので、とても参考になると思いますよ! 最後に重曹虫歯治った, 重曹を使った口腔ケアと注意点!虫歯を予防できるっ ただし重曹は虫歯が治ったり歯が白くなったりするものではなく、あくまで口腔ケアをサポートする民間療法です。効果の感じ方はお口の状態にもよるので、まずは通っている歯科医院に相談したうえで実践することをお



重曹が虫歯治療に役立つとは本当ですか Quora




歯磨撫子 重曹歯磨き粉で黄ばみ対策 重曹つるつるハミガキを1カ月使ってみて気づいた効果を口コミ 40代からの自分磨きとくらしのこと
重曹うがいで虫歯は治る?歯の再生が可能な理由は? 出典:mspcyimgjp 重曹の正式名称は 炭酸水素ナトリウム。 弱アルカリ性の物質で、 料理や掃除 などいろいろな場面で使われています。 そんなものをうがいに使っても大丈夫なの? 「重曹水」で虫歯が治った症例1 テーマ:楽天写真館() カテゴリ:虫歯の電気化学説 僕が12年程前に予防歯科に大きくかじを切ったきっかけは、 ふつうの歯医者のやり過ぎで体調をくずしたのがきっかけですが、 もう1つあります。 それは、うちの長女(今は17歳、虫歯はない)を虫歯虫歯になりやすい方! 簡単につくれるうがい薬で 予防できることご存知ですか? その名はなんと 「重曹うがい」です! 重曹の効果で 虫歯予防と口臭予防できちゃいます! 作り方は簡単で水に重曹を入れるだけ 歯は酸性で溶けてしまいますので



写真閲覧注意歯の黄ばみについての質問です 私の今のコンプレッ Yahoo 知恵袋




だけでの検索結果 下北沢 駅から徒歩3分 の矯正歯科 藤城矯正歯科
「歯茎が健康になった!(歯肉炎が治った)」「即効性がある!」 と絶賛していたのが 重曹うがいです♪ 私は虫歯ゼロだし、歯茎も異常なしなのですが、 予防できたらそれに越したことはありません。 口臭予防にもいいらしいです。 歯は酸に弱く、酸性の状態が長く続くと、虫歯になりやすい重曹うがい 虫歯 治った 重曹うがい 歯茎 重曹うがい 歯茎 Enter 重曹うがい」で虫歯予防? そのホントとウソ 浦和の矯正歯科 Enter 25年間絶えなかった虫歯。「重曹」で虫歯がなくなった!最強の Enter 重曹うがいで風邪&口臭予防!のどの痛みにも効果的な重そう Enter 重曹うがい重曹水で虫歯が治った実例 例えば、mabo400氏の娘さんが1年間重曹洗口をしたところ、少し大きかった虫歯がかなり小さくなりました。↓そのときのレントゲン写真もあります。 そしてmabo400氏はなんと、重曹なら虫歯が象牙質に入っても治ると言います。 春先は、埃っぽいうえに花粉も飛ぶせい




重曹うがい 人気記事 一般 アメーバブログ アメブロ




驚きの効果 重曹マウスウォッシュ は初期虫歯も治す フッ素よりも効果的 口臭対策にも最適 Luline Magazine
重曹うがいをすることで口の中が中和され、虫歯の進行も止まるし、初期なら治ってしまうこともあるならぜひ試してみたいですよね。 また、重曹うがいをすることで歯茎や舌の汚れも落ちて殺菌効果があるので、 口臭予防 にもなります。 そう思い、なんとか虫歯を防ぐ良い方法はないかと 「重曹水」で虫歯が治った症例1 (78) 僕が12年程前に予防歯科に大きくかじを切ったきっかけは、 ふつうの歯医者のやり過ぎで体調をくずしたのがきっかけですが、 もう1つあります。 概要を表示 「重曹水」で虫歯が治った症例1 (84) テーマ:楽天 写真館() カテゴリ:虫歯の電気 化学説 僕が12年程前に予防歯科に大きくかじを切ったきっかけは、 ふつうの歯医者のやり過ぎで体調をくずしたのがきっかけですが、 もう1つあり




脇の黒ずみに重曹は効果あるの 25人の口コミ公開 1ヶ月間パックをした結果



07年 院長 スタッフのコラム 大阪豊中市のとりい歯科医院 阪急曽根駅
治ったどうかは第三者の検証がないので信用できるレベルではないと思います。 相談者からの返信 現代の科学によると重曹うがいでは虫歯の自然治癒は望めない、否定した理由は何でしょうか?これは私を含め、 歯ちゃんねるユーザー等にとっても有益であるはずなので宜しければ教え重曹が虫歯を救う!? 重曹 6歳ダイアグノデント値76 9歳ダイアグノデント値33 結局、虫歯は酸蝕症だという素朴な立場から、 脱灰時間あるいは脱灰量を積極的にコントロールできないだろうか? ということになります。 直接的に重曹で虫歯菌が出す酸を 重曹(アルカリ)なら、虫歯が象牙質に入っても治る。 「重曹水」で虫歯が治った症例1 僕が12年程前に予防歯科に大きくかじを切ったきっかけは、 ふつうの歯医者のやり過ぎで体調をくずしたのがきっかけですが、 もう1つあります。 それは、うちの




驚きの効果 重曹マウスウォッシュ は初期虫歯も治す フッ素よりも効果的 口臭対策にも最適 Luline Magazine




酸蝕歯について 酸蝕歯の治療なら 歯を削らずに治す西村歯科医院



だだっこのおススメ情報 重曹水でうがいをすると虫歯が治るかも




歯医者さんに褒められました 重曹で歯磨き 発酵リビングフード




重曹うがいが 虫歯予防 口臭改善 になるってほんと 大崎の歯科 歯医者 大崎シティデンタル 丁寧で痛くない治療



診療案内 いこの歯科クリニック




体に良いと話題の重曹で歯を磨いた結果が残酷すぎた ニコニコニュース



重曹水 兵庫県高砂市の歯医者 藤原歯科医院 インプラント 歯周病治療 入れ歯 義歯 加古川市 姫路市




歯医者いらずで虫歯も治る 重曹 を使ったデンタルケアがスゴい 2 2 ハピママ




重曹で虫歯対策ができるって本当 歯周病予防やホワイトニング効果も 身嗜み オリーブオイルをひとまわし




リステリン10種類を買って試した結果 クールミントが一番人気です サンデーゲーマーのブログwp



一人暮らしの料理 徹底ガイド 重曹で白い歯を手に入れよう




25年間絶えなかった虫歯 重曹 で虫歯がなくなった 最強の重曹うがい始めませんか 虫歯 重曹 虫歯 治す




重曹うがいの驚きの虫歯予防効果とゼロからはじめる方法をご紹介 歯科オンライン




重曹で虫歯対策ができるって本当 歯周病予防やホワイトニング効果も 身嗜み オリーブオイルをひとまわし



重曹が虫歯に効くワケ I歯科医院の高楊枝通信 楽天ブログ




歯科医師に聞く 重曹うがい のデメリットは 口臭予防 虫歯予防になるって本当 Chintai情報局




歯医者に行かずに 重曹うがい で虫歯を治す Soutai 40




酸蝕歯について 酸蝕歯の治療なら 歯を削らずに治す西村歯科医院




重曹で虫歯対策ができるって本当 歯周病予防やホワイトニング効果も 身嗜み オリーブオイルをひとまわし




無知は罪であり 知ろうとしないことはさらに深い罪である 重曹で歯磨きすると 虫歯予防や進行を抑えるだけでなく虫歯の自然治癒に絶大な効果あり




驚きの効果 重曹マウスウォッシュ は初期虫歯も治す フッ素よりも効果的 口臭対策にも最適 Luline Magazine




虫歯治療 黒い点 ーノーブルデンタルクリニック仙台 仙台駅東口 日曜診療 夜間診療




お掃除の次は 歯磨き 重曹でお口の中もきれいにしよう Izilook




ディベート テクニカル アルバニー 重曹 虫歯 嘘 Minsyuku Shiosai Jp




重曹うがいで口の中の酸性を中和して虫歯を防ぐ やり方と注意点 さくさくの日常




重曹歯磨き 一年続けた結果が凄かった 検証結果あり やってみた ブログ



3




酸蝕歯について 酸蝕歯の治療なら 歯を削らずに治す西村歯科医院




薬 飲み方 水 Financial Trading Org




重曹で虫歯対策ができるって本当 歯周病予防やホワイトニング効果も 身嗜み オリーブオイルをひとまわし




自宅ホワイトニングで重曹が危険な理由とは 安全にホワイトニングする方法を解説します アラフォーママのガチアンチエイジング研究




虫歯の電気化学説 I歯科医院の高楊枝通信 楽天ブログ




クエン酸で医者いらず 新健康法 長田 正松 小島 徹 本 通販 Amazon




ボード Health Eat のピン




ただいま人体実験中 ー重曹で虫歯は本当に治るのかー 旅するスキーヤーでタイマッサージセラピスト 子宮とお腹のケアもしながら時々ルーシーダットン




虫歯も治っちゃう 重曹 で 万能うがい水 を作ろう Izilook




口臭 虫歯をシャットアウト 重層うがいの驚くべき効能 ライブドアニュース




重曹で歯磨き 薬嫌いな町医者 Note




重曹タンサン 共立食品の口コミ 70円位でスーパーに売ってます 食用のタン By ンダーウーマン 乾燥肌 Lips




健康 のアイデア 78 件 21 健康 健康になる 健康 運動




重曹 が最強 虫歯インフルエンザ痛風からガン ワキガも脇の黒ずみ肝臓腎臓病まで治すんです 薄毛だって改善しちゃいます 港区白金ニュース24




重曹うがいが 虫歯予防 口臭改善 になるってほんと 大崎の歯科 歯医者 大崎シティデンタル 丁寧で痛くない治療




コンプリート 重曹 虫歯 治った タザモアウォール




Pin On 美容




酸蝕歯について 酸蝕歯の治療なら 歯を削らずに治す西村歯科医院



あなたの歯の寿命度を判定します 森田歯科クリニック




酸蝕歯について 酸蝕歯の治療なら 歯を削らずに治す西村歯科医院




歯医者いらずで虫歯も治る 重曹 を使ったデンタルケアがスゴい 13年11月27日 エキサイトニュース




重曹うがいは虫歯予防に効果があると思いますか Uebayashi Note




口腔ケア 書きほうだい 気晴らしのブログ




虫歯 に



ダイアグノデント Dd 値99とは I歯科医院の高楊枝通信 楽天ブログ




重曹が虫歯を救う I歯科医院の高楊枝通信 楽天ブログ 21 虫歯 虫歯 重曹 健康 食べ物



重曹水 で虫歯が治った症例1 I歯科医院の高楊枝通信 楽天ブログ




驚きの効果 重曹マウスウォッシュ は初期虫歯も治す フッ素よりも効果的 口臭対策にも最適 Luline Magazine




重曹うがい 虫歯 治った




米軍が隠してた ガン治療法 重曹クエン酸蜂蜜ドリンク 効能は ガン 癌 肝臓病 インフルエンザ アレルギー 腎臓病 胃潰瘍 痛風 虫歯 被曝 放射線障害防止 電磁波 科学的根拠有り みんなが知るべき情報gooブログ




写真あり 重曹うがいで歯が溶けた 海外 歯チャンネル歯科相談室



重曹 で 虫歯 が 治る




虫歯の痛みが取れてびっくり 重曹うがいの驚きの効果 わくわくジャーナル




なぜ歯間ブラシが臭いのか 3つの原因と対策方法




重曹うがいで虫歯の進行が止まり 痛みが治った体験談 小さな病気を自力で治す裏技集




重曹うがいで虫歯予防 牛久市の整体院 年の実績 アーム療整院




黄ばんだ歯が白くなる 重曹うがいの効果とやり方 Hanone ハノネ 毎日キレイ 歯の本音メディア



重曹は癌や 被爆 虫歯 肝臓病などあらゆる病気を治す効果がある 共存共栄 覚醒後の次のステージへ




噂の 重曹で歯磨き 試してみた その1 丸之内




くさい 血が出る ウミが出る 薬で治す歯槽膿漏 しそうのうろう 歯周病 1



虫歯



重曹水 で虫歯が治った症例2 I歯科医院の高楊枝通信 楽天ブログ




重曹タンサン 共立食品の口コミ 重曹歯磨きは白くなるのか検証しました 撮っ By Anna フォロバ中 Lips




歯医者いらずに白い歯ゲット 重曹うがい が絶大なワケとは ゆうりん Com



初期虫歯 黒い 治る




歯医者いらずで虫歯も治る 重曹 を使ったデンタルケアがスゴい 1 2 ハピママ




これだけはng 着色汚れを落とすためにやってはいけないケア方法 日暮里駅前デンタルクリニック




25年間絶えなかった虫歯 重曹 で虫歯がなくなった 最強の重曹うがい始めませんか




奥歯の溝が黒い 治療が必要ですか 八潮駅前通り歯科医院 埼玉県八潮市の歯医者




重曹が虫歯を救う I歯科医院の高楊枝通信 楽天ブログ




虫歯の予防に重曹うがいを実行しています 作り方とやり方をご紹介 美遊伝



服を片付ける 桃 ほんの 重曹 歯磨き 虫歯 Harmonylovematchesforlife Com



重曹にりんご酢を混ぜてお水で割って飲むと酸性体質からアルカリ体質になって 癌の予防になると聞いています 貴方がハマっている健康重視な飲み物は何ですか Quora




虫歯より深刻 酸蝕歯 ちびちび飲み 歯には負担 Nikkei Style



診療案内 Yamazaki Dental Clinic




虫歯の予防方法として効果的な 重曹うがい について 和光おとなこども歯科ブログ



虫歯初期黒い点




歯茎など口腔内が健康になる 重曹うがいがとてもイイらしい 暮らしニスタ




山下陽光 虫歯を治すことができちゃう 重曹での歯磨きがスゴい Http T Co Wt8xrsakpz 歯磨きも効果あるけど 重曹うがいで こんなにも歯が白くなって 虫歯も治る 治るってどういう事だ と思った方 ガン見 Http T Co Mgntnhi91f




まさかの逆効果 重曹水を飲むデメリットとメリットをご紹介 さらりきらりと良き暮らし




重曹すっきり洗口液 歯磨撫子を使った口コミ 顎変形症の治療 手術のデメリット こん By ゆき 10代後半 Lips




ひらた歯科クリニック 重曹うがい




重曹うがいの舌苔除去効果は 正しく舌をケアして口臭予防する




重曹歯磨きがブーム 虫歯が治る ホワイトニングで真っ白な歯へ 高木歯科医院




重曹つるつるハミガキ 歯磨撫子の口コミ 最近話題の歯磨撫子 重曹つるつるハミガキを By まる 敏感肌 10代後半 Lips




重曹を使った口腔ケアと注意点 虫歯を予防できるってホント Hanone ハノネ 毎日キレイ 歯の本音メディア



画像ありです このような虫歯があるのですが そこまで酷くないので削って Yahoo 知恵袋




重曹うがい が虫歯に効くワケ2 Mt Lab Official Shop
コメント
コメントを投稿